Some of the research I’ve carried out has had practical applications and these are protected by the patents listed below
1. A new assay for bacterial endotoxins (UK patent 2197470B).
2. An ablative coating for prevention of bacterial adhesion to denture materials (UK patent 2215730).
3. Treatment of periodontal diseases by redox-poising agents (UK patent 2202442).
4. A device for the production of sterile solutions for use in developing countries (UK patent 9006747).
5. Lethal photosensitisation of micro-organisms in the treatment of oral diseases (European patent No. 0637976).
6. A rapid test for quantifying cariogenic bacteria in saliva samples (patent pending)
7. Targeting system for photodynamic therapy of infectious diseases. (application # GB0323699.9)
8. Protection of computers and other devices from microbial contamination. UK priority no 0615551.9; UK priority date 4/ 08/2006; International patent application no: PCT/GB07/002946
9. Antimicrobial Conjugates. US priority no: 60868130; US priority date 4/08/2006
10. Antimicrobial Mixtures. US priority no 60821423; US priority date 4/08/2006; International patent application no: PCT/GB2007/002957
11. Antimicrobial films (Ag2O-TiO2). UK priority no 0522238.5; UK priority date 1/11/2005; International patent application no: PCT/GB06/004036
12. Aerosol assisted vapour deposition for Ag2O-TiO2. UK priority no 0522234.4; UK priority date 1/11/2005; International patent application no: PCT/GB06/004032
13. Products with health benefits Patents ADP number: 8836884001; UK priority date 22/11/2010
I think the two most interesting of these are the devices for water purification and for killing pathogenic microbes.
Water purification system
Diarrhoeal disease are a major cause of morbidity and mortality and these are mainly transmitted via contaminated water supplies. There is, therefore an urgent need for a simple, low-technology method of providing microbe-free water in developing countries where infant mortality due to such diseases is very high. I invented a very simple, cheap device for producing pure water from sewage or other contaminated sources. It’s based on the concept of osmotically-driven ultrafiltration.
It was awarded 1st prize in the Toshiba “Invention of the year” competition in 1991 and featured in the Millenial Products exhibition held in the Millenium Dome in 2000.


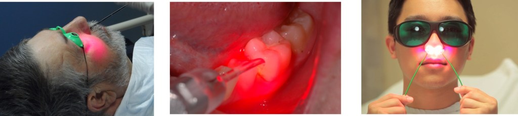
Photodisinfection
Bacteria are increasingly developing resistance to many of our antibiotics and “super bugs” (i.e. bacteria resistant to several antibiotics) are a major cause of infections, particularly in our hospitals. There is an urgent need, therefore, to develop other approaches to killing pathogenic bacteria, and other microbes, that can be used to prevent or treat infectious diseases. In the early 1990s I developed a means of killing microbes that uses a compound (known as a “photosensitiser”) that is able to kill microbes once it has been activated by light of a certain wavelength. This can be employed to prevent and treat a wide variety of infectious diseases. The invention has been developed by a Canadian company, Ondine Biomedical Inc. who have pioneered its use to treat and/or prevent oral infections, healthcare-associated infections, wound infections, ventilation-associated pneumonia, sinusitis and SARS-CoV-2 infections.
